이번 주 목요일에 34주 차 산부인과를 다녀왔다. 2주 전에는 내가 함께 못 가는 바람에, 나는 무려 한 달 만에 까꿍이를 만나러 가는 것이었다. 이젠 2주 간격에서 1주 간격으로 줄어드니 회사에서 연차를 빼서 사용하기 애매하므로 한 달에 한 번씩만 일단 사용하려고 하고 있다ㅠㅠ

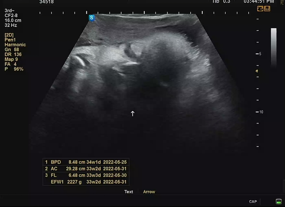
이번 주차에 관건은 까꿍이 체중이 잘 불었나였다. 아무래도 주수에 비해 한주정도 배 둘레와 체중이 조금 적었던 터라 이번에는 조금이나마 살이 붙었길 바랬기 때문이다.
머리둘레는 한달간 주수에 비해 조금 컸었는데, 다시 주수 평균치에 해당하는 크기로 변했었고, 배 둘레, 다리 길이는 주수에 비해 짧긴 했지만 역시나 염려할 정도의 차이가 아니라고 하셨다. 이제껏 체중 불어나는 추이를 봐서 대략 2.1kg 예상했는데 의외로 2.2kg 대를 찍었다. 뿌듯 뿌듯 😉 까꿍이 엄마가 고생이 많다!


차츰 주수가 늘어날수록 초음파 영상에 꽉 차는 까꿍이 모습. 이제는 양수가 줄어들면서 태아가 차지하는 공간이 많아지는 시기기 때문에 더 그러는 것 같다. 제한된 공간에서 손을 웅크리고 있는 까꿍이. 역시나 얼굴보기 힘들었지만 잠깐이나마 가까스로 언 듯 보이는 까꿍이 얼굴이 너무 반갑다.
확실히 예전에는 얇상했다면, 이번 초음파에서는 볼살과 얼굴이 통통해졌음을 느낄 수 있었다..ㅋㅋ 귀여워😍🧡💕

이번 34주차에는 분만 전 검사(막달 검사)도 함께 진행했다.
막달 검사는 ①혈액 검사(혈액형, 빈혈검사, 간 기능 검사 등) ②소변검사 ③심전도 검사(심장의 부정맥 유무 확인) 수술을 요하는 경우 흉부 X-ray 추가로 진행하는 검사라고 할 수 있다.
분만 전 검사(막달 검사)의 목적으로는 출산에 대비하여 임산부의 건강 상태 확인을 하기 위함이다. 때문에 35주 이후에 실시하는 검사하고 할 수 있다. 검사 시간은 대략 10-15분 정도 소요되는 것 같았다. 막달 검사 비용은 병원마다 상이하지만 대체로 7~8만 원대로 진행되는 것 같았다. 나 역시 초음파 및 진료비, 막달 검사 포함하여 9만 원 돈이 나왔으니 대충 비슷한 셈이었다.
우리는 아무래도 자연분만보다는 재왕절개 수술을 생각하고 있기 때문에 잘하면 예정일보다 10일 정도 앞당겨서 까꿍이를 만날 수도 있을 것 같다. 일단 그전까지 아내의 건강상태를 체크하고 진행해야 하기 때문에 잘 챙겨 먹고 잘 쉬는 게 가장 중요하다고 할 수 있다. 통통해진 까꿍이를 보니 기특하기도 하면서 바깥세상으로 나올 때는 어떤 모습일까 너무 궁금하다. 양수에 퉁퉁 불어있는 귀요미 모습이겠지..ㅎㅎ
본 게시글이 도움이 되셨다면 로그인 없이 클릭 가능한 ♥ 공감 버튼 클릭 부탁드립니다 :)
"당신의 하루가 별보다 빛나길"
'육아·임신 > 기록' 카테고리의 다른 글
| 임신후기 10개월, 까꿍이 37주차 1일 초음파 검사 및 추가 태동검사 (0) | 2022.05.03 |
|---|---|
| 임신후기 10개월, 까꿍이 36주차 2일 초음파 검사 및 엑스레이 검사 (0) | 2022.04.27 |
| 임신후기 9개월, 까꿍이 32주차 2일, 초음파 검사 및 태동검사 기록 (0) | 2022.04.01 |
| 임신후기 8개월, 까꿍이 30주차 1일차 초음파 검사 및 백일해 접종 기록 (0) | 2022.03.16 |
| 임신중기 7개월, 까꿍이 26주 6일차 정밀 초음파 검사, 얼굴 3D 초음파 영상 및 임신성 당뇨 검사 기록 (0) | 2022.02.20 |