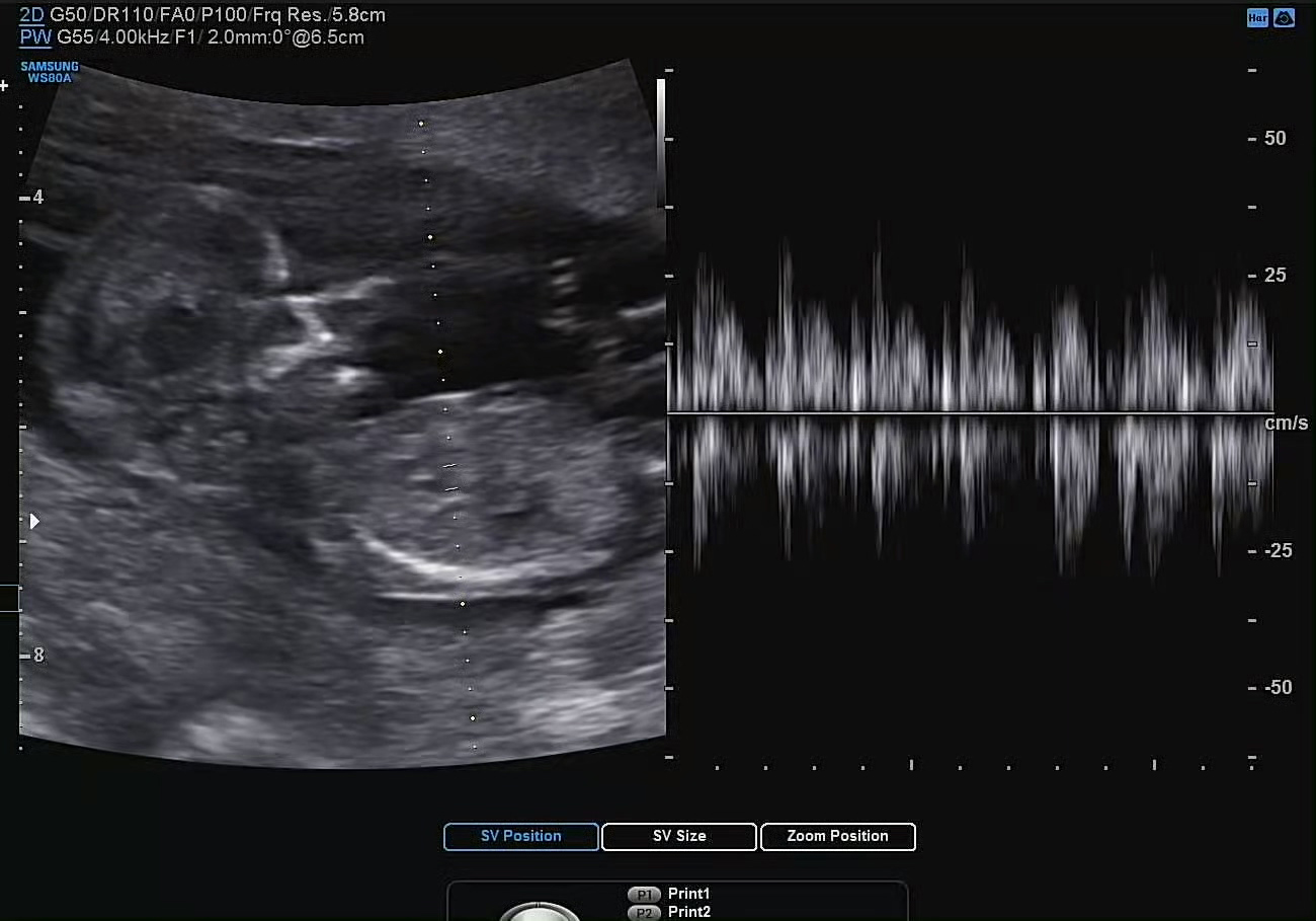
오늘은 1차 기형아 검사까지 함께한 초음파 영상이라 10분 정도 긴 영상이다. 초음파로 검사하며 태아의 목덜미, 투명대 두께를 측정하여 고위험도를 계산하는 검사방법이다.
다행히 목덜미는 3mm 이상이 되면 고위험이라고 할 수 있다. 때문에 3mm 이하 수치로 뜨는 게 기형아 위험의 가능성이 적다고 할 수 있다.
NT초음파 검사 1차 기형아 검사
태아의 염색체 이상(특히 다운증후군)과 신경과 결손 등을 정확하게 발견할 수 있는 선별검사. 새로 도입된 소프트웨어를 통해 태아의 목덜미 투명대 두께와 두 번의 산모혈액에서 얻은 단백질 농도를 모두 합하여 염색체 이상과 신경과 결손의 위험도 계산
1. NT초음파 검사 : 태아 목덜미 투명대 두께 (NT:Nuchal Transluceny)를 초음파를 통해 측정
2. 혈액채취(1,2차)
3. 위험도 계산
4. 최종검사
출처 : 강남차병원

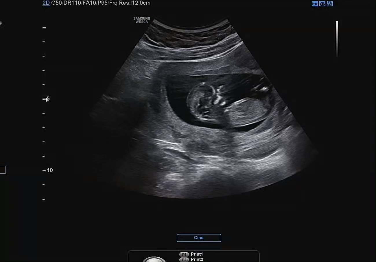
초음파 상이지만 확실히 9주 차 때보다 실루엣이 더 커지고 또렷해진 느낌이다. 특히나 얼굴에 보이는 골격이라고 해야 하나, 그런 디테일이 더 많아진 느낌적인 느낌.
까꿍이의 목 두께는 1.38mm, 코뼈도 2mm로 다행히 결과는 정상범위로 나왔다.


심박수도 9주 때와 비슷하게 160으로 잘 나왔다. 성인보다 2배 정도 빠른 심박수를 보이는 태아. 현재 6cm 정도의 작은 크기임에도 불구하고 손발과 심장이 모두 존재한다는 게 정말로 신기할 따름이다.


이번 초음파 검사에서는 3D로 구현되는 초음파도 중간중간 있었다. 우리 까꿍이는 숫기가 없는지 두 손으로 얼굴을 자꾸만 가려서 제대로 볼 수가 없었다ㅎㅎ
뚜렷한 이목구비로 확인할 수 없지만, 이렇게나마 까꿍이를 만나는 것은 늘 기다려지는 변함이 없다.
12주 차 태아 간편 정리
아이 크기는 5-6cm, 몸무게는 35~51g 정도로 크기는 라임 정도라고 할 수 있다. 아기의 골수에서 백혈구를 만들고 있고, 세균과 스스로 싸울 준비를 하고 있다고 한다.
아기의 뇌하수체에서는 수십 년 후에 자신의 아기를 만들 수 있는 특정 호르몬을 벌써부터 생산하고 있으며, 미래의 할머니, 할아버지가 될 준비를 12주부터 한다고 한다.


아직 성별을 확인하기 이른 시기로, 다음 검사 시기에는 성별을 확인할 수 있을 것 같다. 초음파 1차 검사와 피검사 결과는 10일 정도 걸린다고 한다. 다음 검사는 12월 둘째 주쯤이니 한 달 뒤에 검사를 받는다. 2주 단위로 병원을 방문했다면 12주~ 32주까지는 한 달에 한번 검사를 하게 된다.
한 달마다 보고 싶어 지겠지만 그만큼 쑥쑥 건강하게 자라고 있을 까꿍이를 기대하며 오늘도 파이팅을 외친다 :)
본 게시글이 도움이 되셨다면 로그인 없이 클릭 가능한 ♥ 공감 버튼 클릭 부탁드립니다 :)
"당신의 하루가 별보다 빛나길"
'육아·임신 > 기록' 카테고리의 다른 글
| 임신중기 7개월, 까꿍이 26주 6일차 정밀 초음파 검사, 얼굴 3D 초음파 영상 및 임신성 당뇨 검사 기록 (0) | 2022.02.20 |
|---|---|
| 까꿍이 22주 5일차 정밀 초음파 검사 기록(두뇌, 심장, 손, 발, 머리, 복부 둘레 등) (0) | 2022.01.23 |
| 임신중기, 16주차 5일 초음파 성별확인 영상 기록(기형아 2차 검사 혈액 채취) (0) | 2021.12.13 |
| 임신초기, 까꿍이 9주 5일째 초음파 영상 기록일지, 활발하게 움직이는 아가♥ (0) | 2021.10.25 |
| 임신초기 - 까꿍이, 7주 5일차 초음파 검사 기록일지 (0) | 2021.10.10 |